Was ist das? Vielleicht ein neuer Zahn? (Gesundheit und Medizin, Zähne, Milchzahn)
Persistierende Canini bleibende Milcheckzähne Tierarztpraxis Birgit Dumhart

In den ersten 2 bis 3 Lebensjahren bildet sich ein Milchgebiss heraus, das etwa ab dem 6. Lebensjahr durch bleibende Zähne ersetzt wird. Milchzähne. Die Anlagen für die Zähne entwickeln sich schon vor der Geburt im Mutterleib. Ab dem sechsten Monat nach der Geburt brechen die ersten Milchzähne durch, das heißt, sie erscheinen in der.
Was ist ein Haifischzahn?

Dies kann zum Schiefstand der bleibenden Zähne und der Milchzähne führen. Müssen Sie einen Milchzahn ziehen lassen, wird Ihnen der Zahnarzt raten, einen Lückenfüller einsetzen zu lassen. Dies kann eine Krone oder eine Brücke sein, die als Platzhalter dient. Nur so kann der neue Zahn gerade und mit genügend Platz nachwachsen.
Was für ein Zahn wächst da in der Mitte? (Zähne, Zahnarzt)

Termin vereinbaren. Neuer Zahn wächst hinter Milchzahn keine Panik! Darauf sollten Eltern achten: Richtige Zahnpflege und Mundhygiene zur. Vermeidung von Karies. Regelmäßige Kontrolltermine. beim Kinderzahnarzt, um die. Entwicklung zu überwachen. Weiche Nahrung kann helfen, die Milchzähne natürlich herauszulösen.
Behandlung von impaktierten Eckzähnen mit Kieferorthopädie Dr Jamilian

Dieser Prozess dauert unterschiedlich lang und ist bei den meisten Menschen nach etwa 20 Jahren abgeschlossen. Im folgenden Beitrag erklären wir alles rund um die Anzahl der Milchzähne, ihren Durchbruch - angefangen vom ersten Zahn, bis hin zum vollständig sichtbaren Milchgebiss, sowie den Zahnwechsel zu den Erwachsenenzähnen.
Gebiss anatomie Fotos und Bildmaterial in hoher Auflösung Alamy

In manchen Fällen passiert es aber, dass der neue, bleibende Zahn am Milchzahn vorbei wächst oder diesen lediglich streift. In der Folge hat das Kind zwei Zähne an derselben Stelle. Wie sich das genau äußert, ist individuell unterschiedlich. In manchen Fällen wackelt der Milchzahn zwar, sitzt aber noch zu fest, um selbstständig.
Unterschied von Milchzähnen zu bleibenden Zähnen

Übrigens: oft wachsen die bleibenden Zähne hinter oder vor dem Milchzahn nach, bevor dieser überhaupt ausgefallen ist. Auch das ist in der Regel kein Problem. Der bleibende Zahn sucht sich seinen Weg in die Zahnlücke, sobald der Milchzahn ausgefallen ist. Im Zweifelsfall kann auch der Zahnarzt den widerwilligen Milchzahn ziehen.
Zahnfleisch tut weh (Oberkiefer)? (Gesundheit und Medizin, Schmerzen)

Milchzähne verhindern Fehlstellungen. Milchzähne sind Platzhalter für die bleibenden Zähne. Geht ein Milchzahn vorzeitig verloren, kann das beim Zahnwechsel dazu führen, dass bleibende Zähne schief herauswachsen und es zu Zahnfehlstellungen kommt. Besonders wichtig ist die Erhaltung des hinteren Milchbackenzahns.
Ist das normal bei einem 7 jahrigen, das macht mir bisschen Angst, muss ich zum Zahnarzt? (Zähne)

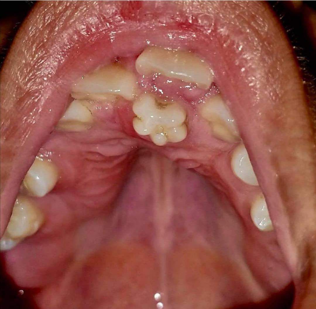
Was sind Haifischzähne? Haifischzähne sind bleibende Zähne, die hinter Milchzähnen wachsen. Dadurch kann sich die Wurzel des Milchzahnes nicht komplett auflösen und nicht einfach rausgewackelt werden. Es ist essenziell, dass die Kinder an diesen Milchzähnen wackeln, so dass sie sie selbst rausmachen. Wenn sie es nicht schaffen, muss der.
Neuer Zahn wächst hinter Milchzahn Forum Gesundheit & Medizin urbia.de

Ein Haifisch hat bis zu 3.000 Zähne in sechs bis 20 Reihen. Beim Menschen können die ersten bleibenden Vorderzähne ebenfalls in zweiter Reihe herauswachsen. "Herr Doktor, meinem Kind wächst.
Hallo, mir ist gerade ein Stück Zahn abgebrochen, wie auf dem Bild zu sehen. Wie behandelt man

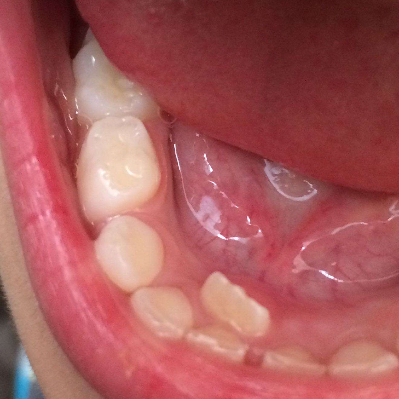
neuer Zahn wächst hinter Milchzahn. ich habe hier schonmal eine Frage gestellt. Da war es so, das meine Tochter noch keinen Wackelzahn, aber schon ein bleibender Zahn dahinter anfing zu wachsen. Da hieß es man solle solange nicht nachhelfen bis der neue Zahn halb raus ist, und darauf achten, ob der davor stehende Milchzahn bereits wackelt.
59 HQ Photos Wann Kommen Die Letzten Backenzähne Zahnreinigung In Hamburg Professionelle

Manchmal wächst der neue Zahn hinter die Milchzahnreihe. Der Milchzahn behindert den wachsenden, bleibenden Zahn NICHT in seinem Wachstum, sondern der Zahnkeim des bleibenden Zahnes liegt einfach hinter dem Milchzahn. Durch diese Position wird nur ein Teil der Milchzahnwurzel aufgelöst, weshalb der Milchzahn etwas länger im Mund verbleibt.
Zahn verfärbt sich gelb Forum Kindergartenalter urbia.de

neuer Zahn wächst hinter Milchzahn. ich habe hier schonmal eine Frage gestellt. Da war es so, das meine Tochter noch keinen Wackelzahn, aber schon ein bleibender Zahn dahinter anfing zu wachsen. Da hieß es man solle solange nicht nachhelfen bis der neue Zahn halb raus ist, und darauf achten, ob der davor stehende Milchzahn bereits wackelt.
Zahn Kommt Hinter Milchzahn Raus Captions HD

4.1 Kein versteckter Zucker. 4.2 Kinderzahnpasta. 1. Die ersten Milchzähne. Im Alter von sechs bis acht Monaten wachsen bei den meisten Kindern die ersten Milchzähne. Los geht es in der Regel mit den beiden unteren Schneidezähnen. Mit etwa zweieinhalb bis drei Jahren ist das Milchzahngebiss mit insgesamt 20 Zähnen vollständig.
Besteht die Möglichkeit , dass mein Weisheitszahn gerade wachsen wird? (Gesundheit und Medizin

08.05.10, 14:40. Zahn wächst hinter Milchzahn. Was mach ich jetzt? Hallo, meine Tochter hat mir heute ihren neuen Zahn gezeigt. Leider ist der Milchzahn noch da und der Neue kommt dahinter durch . Man sieht nur die Zacken. Jetzt meine Frage. Muß ich am WE noch zum Zahnarzt den Milchzahn ziehen lassen oder reicht da am Montag.
Der Milchzahn wackelt nicht und der nächste bleibende Zahn kommt woanders raus YouTube

Wenn der bleibende Zahn hinter dem Milchzahn wächst, ist das erst einmal kein großes Problem. Selbst wenn jetzt der Milchzahn entfernt wird, gibt es keine Garantie dafür, dass der bleibende Zahn kein Schiefzahn sein wird. Daher sollte der Milchzahn nur dann entfernt werden, wenn der bleibende Zahn komplett herausgewachsen ist und der.
Aus dem Paradies hinaus und in die Abprallhölle hinein, oder kann es auch, für Mann und Frau

Antwort auf: neuer Zahn wächst hinter Milchzahn. Hallo, meist schiebt die Zunge die neuen Zähne doch noch weiter in den Zahnbogen hinein, vorausgesetzt es ist genügend Platz vorhanden. Falls nicht, ist später eine kieferorthopädische Regulierung notwendig. Es bleibt vorerst nur das Abwarten. Viele Grüße